
By
DunJav.com

By
Noodlemagazine

By
Frontiers

By
The Blue Moment

By
Nature

By
MDPI
![Synthesis of Dacus Pheromone, 1,7-Dioxaspiro[5.5]Undecane and Its Encapsulation in PLLA Microspheres for Their Potential Use as Controlled Release Devices](https://i0.wp.com/www.mdpi.com/agronomy/agronomy-10-01053/article_deploy/html/images/agronomy-10-01053-g008.png?ssl=1&colorize=3,5,7&strip=all&auto=format&zoom=1.4)
By
MDPI

By
Frontiers

By
MDPI

By
RSC Publishing - The Royal Society of Chemistry

By
AIMS Press

By
Cancer Genomics & Proteomics

By
MDPI

By
Google Patents

By
Indian Journal of Pharmaceutical Sciences

By
IIS Windows Server

By
The Physiological Society - Wiley

By
Google Patents

By
Journal of Neuroscience

By
Google Patents
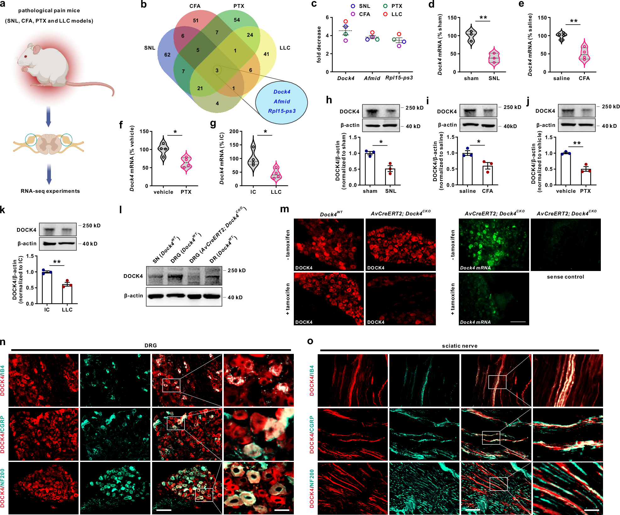
cdcl 008cdcl Histonecdcl lactylationcdcl regulatescdcl DOCK4cdcl tocdcl controlcdcl heatcdcl nociceptioncdcl andcdcl cdcl supportscdcl Dynein-mediatedcdcl Nav1.7cdcl traffickingcdcl |cdcl Naturecdcl Communications